Introduction
A right side brain stroke occurs when blood flow to the right hemisphere of the brain is interrupted or reduced, leading to damage of brain cells. The brain depends on a constant supply of oxygen and nutrients, and even a brief disruption can result in serious complications. Strokes are medical emergencies that require immediate attention, as early treatment can significantly improve survival and recovery outcomes. Understanding right-sided strokes is important because their symptoms and effects differ from those of left-sided strokes.
What Is a Right Side Brain Stroke?
The human brain is divided into two hemispheres: the left and the right. Each side controls the opposite side of the body. This means that when a stroke affects the right side of the brain, it primarily impacts the left side of the body.
A stroke happens in two main ways. The first is an ischemic stroke, caused by a blockage in a blood vessel supplying the brain. The second is a hemorrhagic stroke, which occurs when a blood vessel ruptures and causes bleeding in the brain. Both types can affect the right hemisphere and lead to significant neurological damage if not treated quickly.
Right-sided strokes are particularly associated with problems in spatial awareness, perception, and coordination, as the right hemisphere plays a key role in these functions.
Causes and Risk Factors
Right side brain strokes share the same causes as other types of strokes. The most common cause is a blood clot that blocks an artery in the brain, preventing oxygen from reaching brain tissue. Other causes include bleeding due to ruptured blood vessels or aneurysms.
Several risk factors increase the likelihood of having a stroke. High blood pressure is the most significant risk factor, as it damages blood vessels over time. Other factors include diabetes, high cholesterol, smoking, obesity, and heart disease. Lifestyle choices such as poor diet, lack of exercise, and excessive alcohol consumption can also contribute to stroke risk.
Age is another important factor, as the risk of stroke increases with age. However, strokes can also occur in younger individuals, especially when underlying health conditions or extreme physical stress are involved.
Symptoms of a Right Side Brain Stroke
The symptoms of a right-sided stroke can vary depending on the exact area of the brain affected. However, some common signs are widely recognized. One of the most noticeable symptoms is weakness or paralysis on the left side of the body, including the face, arm, or leg.
Individuals may also experience numbness or reduced sensation on the left side. Vision problems, such as loss of vision on one side, are also common. Difficulty with balance and coordination can make walking or standing challenging.
Right-sided strokes often affect spatial awareness. Patients may have trouble judging distances or recognizing objects and faces. In some cases, they may ignore the left side of their body or surroundings, a condition known as spatial neglect.
Unlike left-sided strokes, speech problems are usually less severe, but confusion, memory issues, and changes in behavior or emotions may occur.
Diagnosis and Immediate Treatment
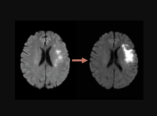
Diagnosing a right side brain stroke involves a combination of physical examination and imaging tests such as CT scans or MRI scans. Doctors assess symptoms and determine the type and location of the stroke.
Immediate treatment is crucial. For ischemic strokes, clot-dissolving medications such as tissue plasminogen activator (tPA) may be administered if given within a few hours of symptom onset. In some cases, doctors may perform mechanical thrombectomy, a procedure to remove the clot.
For hemorrhagic strokes, treatment focuses on stopping the bleeding and reducing pressure in the brain. This may involve medications or surgery. Quick medical intervention can prevent further brain damage and improve recovery chances.
Complications of Right Side Stroke
A right side brain stroke can lead to several complications. One of the most common is hemiplegia, or paralysis on one side of the body. This can affect daily activities such as walking, eating, and dressing.
Cognitive and perceptual problems are also common. Patients may struggle with attention, judgment, and awareness of their surroundings. Some individuals may not recognize their own disabilities, making rehabilitation more challenging.
Emotional changes can also occur. Patients may experience mood swings, depression, or impulsive behavior. These changes are often due to damage in areas of the brain responsible for emotional regulation.
Rehabilitation and Recovery
Recovery from a right side brain stroke is a gradual process that varies from person to person. Rehabilitation typically begins as soon as the patient is medically stable. It often involves a combination of physical therapy, occupational therapy, and sometimes speech therapy.
Physical therapy focuses on improving strength, balance, and coordination. Occupational therapy helps patients relearn daily activities such as dressing and cooking. Cognitive therapy may also be used to address memory and attention problems.
The brain has a remarkable ability to adapt, known as neuroplasticity. This allows undamaged parts of the brain to take over some functions of damaged areas. With consistent therapy and support, many patients experience significant improvement over time.
Recovery can take weeks, months, or even years, depending on the severity of the stroke and the effectiveness of rehabilitation.

Prevention of Right Side Brain Stroke
Preventing a stroke involves managing risk factors and maintaining a healthy lifestyle. Controlling blood pressure is the most important step, as hypertension is a leading cause of stroke.
Other preventive measures include maintaining healthy cholesterol levels, managing diabetes, quitting smoking, and engaging in regular physical activity. A balanced diet rich in fruits, vegetables, and whole grains also supports overall cardiovascular health.
Regular medical check-ups can help detect and manage risk factors early, reducing the chances of a stroke.
Conclusion
A right side brain stroke is a serious medical condition that can have life-altering effects. It primarily affects the left side of the body and can lead to physical, cognitive, and emotional challenges. Early recognition of symptoms and prompt medical treatment are essential for improving outcomes.
With proper rehabilitation and lifestyle changes, many individuals can regain independence and lead fulfilling lives. Increasing awareness about stroke symptoms and prevention can play a crucial role in reducing its impact on individuals and society.